Tiz bo'g'imlari (gonartroz) artoz - bu xaftaga yaqin bo'lgan degenerativ kasalligi. Statistikaga ko'ra, sayyoramizning har beshinchi fuqarosi ushbu patologiyasidan aziyat chekmoqda. Ushbu maqola artrozning asosiy sabablarini, har bir bosqichda, shuningdek tashxis qo'yish va davolash usullarini ko'rib chiqadi.
Sabablar
Har kuni tizza bo'g'imlari yurish paytida katta yukni boshdan kechirmoqda. Axir, ular butun tananing massasiga bardosh berishlari kerak. Natijada, tizzalardagi patologik o'zgarishlarning sababi bo'lgan xaftaga oid to'qimalarning asta-sekin kiyimi mavjud.
Xavf guruhiga odamlar kiradi:
- Keksa,
- ortiqcha vazndan aziyat chekmoqda
- osteoporoz va metabolik kasalliklar
- hech qachon tizzadan to'qnashuv oldidan,
- ma'lum bir kasblarni ifodalash,
- Mikroelementlar etishmasligidan aziyat chekmoqda,
- og'ir sport bilan shug'ullanish.

40 yoshga to'lgan ko'pchilikda rivojlanishning ikkinchi yoki undan keyingi bosqichida artoz mavjudligi topish mumkin.
Asosiy alomatlar
Albatta, xaftaga oid to'qimadagi o'zgarishlar alomatlarsiz sodir bo'lmaydi. Kasallik bilan odam shikoyat qilishi mumkin:
- uyg'ongandan keyin yoki uzoq-uzoq joyda uyg'ongandan keyin tizzalarda noqulaylik hissi,
- Uzoq vaqtdan keyin oyoqlarda og'riq,
- Tog'ga ko'tarilishda va zinadan yuqoriga ko'tarilish hissi.
- Oyoqlarda ozgina yuk, shuningdek kunning oxirida.
- Ba'zi bemorlar hatto tunda, uxlash paytida ham tashvishlanadilar.
Muhim! Kasallik keskin sodir bo'lmaydi, yillar davomida rivojlanadi. Birinchi bosqichlarda og'riq ahamiyatsiz bo'lishi mumkin, ammo vaqt o'tishi bilan doimiy o'sish kuzatilmoqda.
Tizzadan 2 daraja artoz
Ushbu bosqichda gonartroz o'z rivojlanishini boshlaydi, shuning uchun inson uchun bu jarayon deyarli asemptomatik ravishda davom etmoqda. Biroq, ba'zi belgilar hali ham ko'rinishi mumkin.
Biror kishi ko'pincha oyoqlarda charchoqni his qila boshlaydi, bir yoki ikkita tizza bo'g'imlarining harakatchanligining engil pasayishini unutmang. Ushbu hodisa, ayniqsa, ertalab uyg'ongandan keyin.
Qoida tariqasida, ushbu bosqichda kasallikning tashxisi tasodifan x-i karda paydo bo'ladi. Unda shifokor xaftaga oid ba'zi tartibsizliklarni qayd etishi mumkin. Shuningdek, bu yoritgichni qo'shma qismlari orasidagi toraytirish mumkin.
Tizza bo'g'imlarining artizasi 2 daraja
Tizlar bilan qo'shma patologiyasi yanada ravshan ko'rinishni boshlaydi. Og'riq sindromi paydo bo'lishi xarakteristikadir, bu qo'shma uchun har qanday qo'shimcha yuk tashiladi.
Malumot. Ushbu bosqichda og'riq uzoq vaqt davomida mustaqil ravishda o'tadi.
Bundan tashqari, ikkinchi bosqich davomida quyidagilar kabi alomatlar:
- Ma'lum bir harakatlar bilan kristalli. Buni birida ham, ikkala tizzada ham kuzatish mumkin. Qalb deyarli sezilarli bo'lishi mumkin, ammo asta-sekin u qo'pol, baland va juda aniq xarakterga ega bo'ladi.
- Oyoqni tizzada to'liq egish qobiliyatini kamaytirish. Ba'zi odamlar buni 90 daraja burchakka qilishlari mumkin, keyin yoqimsiz sensat yuz beriladi va ular to'xtashga majbur bo'lishadi.
- 2 bosqichli gonartros bilan og'rigan ba'zi bemorlar tizza bo'g'imi egilganda yuzaga keladigan o'tkir og'riq paydo bo'lishidan shikoyat qila boshlaydilar.
- Tiz bo'g'imlarining shaklini o'zgartirish mumkin, u kengroq bo'ladi, shishadi. Bu patologik suyuqlikni to'plash bilan bog'liq.

Agar tizza hududida noqulaylik aniqlansa, siz to'g'ri davolanishni buyurganingiz uchun shifokor bilan maslahatlashishingiz kerak.
Tizza bo'g'imlarining artizasi 3 daraja
- Ushbu bosqichda, qo'shma doirada, juda kuchli tarkibiy xaftalar o'zgarishi kuzatilmoqda. U erda katta hajmdagi o'sishlar paydo bo'ladi.
- Ta'sirlangan oyoqning egriligi qayd etilgan. Bu 0 shaklidagi yoki X shaklidagi entününni egallaydi, bu bemorning to'liq hayotiga jiddiy to'sqinlik qiladi. Natijada odam nogiron bo'lishi mumkin.
- Kasallikning 3-bosqichining xarakterli hodisasi qattiq og'riq bo'lib, ular har qanday og'ir yukni kuchaytirishi mumkin.
- Biror kishi qo'shma ob-havo o'zgarishi uchun qo'shmaning sezgirligiga e'tibor beradi. Endi siklon yaqinlashayotgani, tizzasi og'riyapti, unda sezgilarni tortadi.

Yoshi bilan bo'g'imlar ob-havo va bosimdagi o'zgarishlarga javob boshlaydi.
Tizza bo'g'imlari 4 daraja artizoz
Bu kasallikning haddan tashqari, yakuniy bosqichi, unda suyaklar orasidagi bo'shliq butunlay yo'q.
Malumot. Aksariyat ortopedchilar to'rtinchi bosqichni uchinchi bosqichga bog'lashadi. Bu alomatlarning o'xshashligi va o'z vaqtida tashxis qo'yishning murakkabligi tufayli.
Gapning yo'qligi kuzatilsa, bo'g'imning harakati shunchaki imkonsizdir.
Bundan tashqari, bemor chidab bo'lmaydigan, doimiy og'riq qoldiruvchi vositalardan ozod bo'lgan doimiy og'riq bilan qiynaladi. Ammo bir vaqtdan keyin planshet yoki in'ektsiya to'xtash joyi bo'lsa, yoqimsiz simptom yana paydo bo'ladi.
Diagnostika
Bemorning ekspertizasi mutaxassisga yordam so'rashdan boshlanadi. Ular terapevt yoki ortopedist bo'lishi mumkin.
Shifokor shikoyatlarni tinglaydi, anamnezni yig'adi, ekspertizani o'tkazadi. Avvalo, u qo'shmadagi tashqi o'zgarishlar, uning hududida harakatchanlikni cheklash bilan qiziqadi.

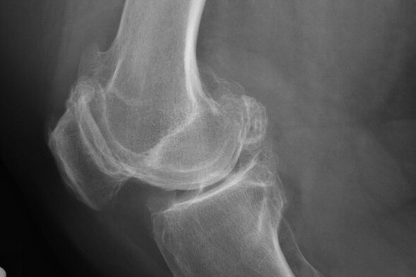
X--var xaftada og'ishlarni aniqlashga yordam beradi.
Sinovni sinab ko'rish paytida bemor yoqilg'i yoqimsiz ko'rinishi haqida shikoyat qiladi va tizza kubogining porlashi bilan siqilish eshitiladi.
Muhim! Shifokorning bir vizual tekshiruvidan keyin tashxis shifokorning bir vizual tekshiruvidan keyin, hatto kasallikning barcha belgilari mavjud bo'lganda ham mumkin emas. Faqat to'liq tekshirish sizga tizzadagi patologiya haqida aniq javob berishga imkon beradi.
Tekshiruvdan so'ng shifokor bemorning rentgenografiyasini belgilaydi. Bu har qanday darajadagi tizza bo'g'imlarining asosiy usuli hisoblanadi.
X -Aray shifokorga bo'g'imning xaftaga kiradigan o'zgarishlar g'oyasi beradi. Biroq, ba'zi hollarda dastlabki bosqich rasmda aniqlanmasligi mumkin.
Agar kerak bo'lsa, shifokor rentgenogramma yoki hisoblangan va magnit rezonans tomografiyasining takroriy qismini buyurishi mumkin.
Davolash
Gonarroz tashxislashganda, darhol davolash boshlanishi kerak. Bu patologiyaning rivojlanishini to'xtatish, ko'plab asoratlarning oldini olishga yordam beradi.
Kasallik terapiyasi birdaniga bir nechta gollarni amalga oshiradi. Ya'ni:
- Og'riq sindromini yo'q qilish,
- boshqa alomatlarning og'irligini kamaytirish,
- ta'sirlangan xaftaga va qo'shma ligamentlarning maksimal maksimal darajada tiklanishi,
- Oyoq harakatlanishining ko'payishi.
Kasallikni davolash quyidagi usullarni o'z ichiga oladi:
- Dori terapiyasi,
- Massaj, osteopatiya, qo'lda davolash,
- Jarrohlik aralashuvi,
- Tibbiy va profilaktika bo'yicha jismoniy tarbiya,
- Fizioterapiya.
Giyohvand moddalar
Malumot. Giyohvand moddalar terapiyasi kasallikni davolashning asosiy usuli hisoblanadi. Biroq, boshqa usullar bilan birlashtirilganda bu eng muvaffaqiyatli.
Gonarrozni davolash uchun ishlatiladigan dorilar quyidagilardan iborat:
- Nonsteroidol-ga qarshi dorilar - bemorni og'riqdan engillashtiring, yallig'lanishni engillashtiring. Ushbu dorilar kasallikning sababi ta'sir qilmasdan simptomatik vositalardir. Ular faqat ochiq-oydin yengillikni keltirurlar.
- Chodarotektorlar - xaftaga mato tiklang. Biroq, effekt darhol emas, balki sezilarli bo'ladi. Dori-darmonlar to'plami (jamg'argan) xususiyatlarga ega, shuning uchun tana to'liq effekt uchun vaqt kerak.
- Gormonal dorilar. Ular, qoida tariqasida, kasallikning rivojlangan bosqichlari bilan buyuriladi. Ushbu mablag'lar qo'shilish atrofidagi to'qimalarning shishishi va yallig'lanishini tezda engillashtirishi mumkin. Giyohvand moddalar sinfining noqulayligi - bu tanadagi tizimli ta'sirdir, ularda ko'p kiruvchi salbiy reaktsiyalar mumkin. Ular faqat bir nechta kurslarda, jarayonning kuchayishi paytida buyuriladi.
- Tashqi dorilar, og'riqni engillashtirish uchun mo'ljallangan. Malham shaklida chiqariladi.
- Gialuron kislotasi. Bu Gonarrozni davolashda yangi echimdir. Bu bo'g'imlarni oziqlantiradigan vositalarning-ko'chmasulli kaliti. Bu juda yuqori samaradorlikka ega. Biroq, usul kamchiliklar: faqat kasallikning boshlang'ich bosqichlarida va preparatning yuqori narxida foydalanish imkoniyati.
Muhim! Birlashgan bo'shliqqa giyohvand moddalarni kiritish 7-10 kun ichida 1 martadan ko'p bo'lmagan vaqtga to'g'ri keladi.
Massaj
Massaj, shuningdek qo'llanma va osteopatik davolanish quyidagilarga qaratilgan:
- Og'riqni yo'q qilish,
- tizzalardagi harakatlarning qattiqligini engib o'tish,
- xaftag 'joyida qon ta'minotini yaxshilash,
- yallig'lanish sohasida ozuqa moddalari va kislorod bilan ta'minlash.
Malumot. Massaj va shunga o'xshash protseduralar faqat maxsus ma'lumotga ega bo'lgan shaxs tomonidan amalga oshirilishi kerak. Aks holda, siz qo'shma a'zoning holatini yomonlashtirishingiz va kuchaytira olasiz.
Jarrohlik aralashuvi
Bu kasallik juda e'tiborsiz bo'lganida, artrozni davolashda ekstremal o'lchovdir, agar kasallik juda e'tiborsiz bo'lsa va boshqa terapiya usullari kuchsizdir. Ko'pincha, endoprosetikalar ishlatiladi, unda ta'sirlangan bo'g'im almashtiriladi.
Prosethics ikki xil bo'lishi mumkin:
- to'liq - butun qo'shma almashtiriladi,
- Qisman - faqat nasabyali bo'g'imlarning eng eski qismi almashtirish kerak.
Prosetikani qabul qilish uchun mumkin bo'lgan holatlar:
- surunkali infektsiyalar;
- nevrotarta kasalliklari;
- tomir patologiyalari;
- Bir qator yurak-qon tomir kasalliklari.
Yana bir variant - bu tuzatish osteotomiyasi. Ushbu usul bilan qo'shma, tizzaning ta'sirlangan hududida bosimni kamaytiradigan plastinka joylashtiriladi.
Jismoniy mashqlar terapiyasi
Bu qo'shma va uning harakatchanligini tiklashga qaratilgan bir qator jismoniy mashqlarni muntazam va to'g'ri amalga oshirishdir.
Ushbu protsedura ilgari maslahat uchun mutaxassis bilan bog'lanib, uyda mustaqil ravishda amalga oshirilishi mumkin.
Oldini olish
Oddiy oddiy qoidalar xaftagining yo'q qilinishini oldini olish yoki kuchaytirishning oldini oladi. Buning uchun sizga kerak:
- Ratsionga ergashing. Bu tana vaznini nazorat qilishga yordam beradi, tanani barcha zarur vitaminlar va minerallar bilan ta'minlaydi.
- Boshqa sport turlariga rioya qiling, boshqalarni tark eting. Goad shunday, bu gonartoz bilan tizzalardagi ortiqcha yuklar juda istalmagan. Shu sababli, yugurish va sakrash velosipedda minish, suzish yoki Akvaerobik bilan almashtirish yaxshiroqdir.
- Muntazam ravishda terapevtik mashqlarni bajaring.
- Qulay va ortopedik ravishda to'g'ri poyabzal kiying. Tutqichlar va baland poshnali, tekis taglik, kichkina tovon bilan poyabzalga ustunlik berish mumkin emas.
Tiz bo'g'imining artozi uzoq vaqt davomida e'tibor bermaydigan juda keng tarqalgan kasallikdir. Asimptomatik boshlanishiga qaramay, gonarroz yomon asoratlarga olib kelishi mumkin. Shuning uchun, o'z vaqtida diagnostika va zarur davolanishni boshlash juda muhimdir.

















































